O

OyeCricket.com's Daily Health Needs

DailyHealthNeeds.com strives to bring information on various
general health topics in English and Hindi.

  • Rated2.6/ 5
  • Updated 6 Years Ago

What is meant by Anaemia? Deficiency diseases and foods to treat anaemia | DailyHealthNeeds.com

Updated 6 Years Ago

What Is Meant By Anaemia? Deficiency Diseases And Foods To Treat Anaemia | DailyHealthNeeds.com
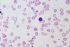
What is meant by Anaemia? Iron-deficiency Anemia, Peripheral Blood Smear (Photo credit: euthman) Haemoglobin is the compound which carries oxygen to the body tissues from the lungs. Anaemia itself is not a disease and it is a symptom of some other disease such as deficiency of iron in the diet, excessive loss of blood
Read More
...