D

Dr. Parveen Chopra's Healthbaba

it is about health and fitness issues

  • Rated2.1/ 5
  • Updated 9 Years Ago

Recent blog posts from Healthbaba


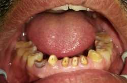
Cure for Gutkha-Panmasala Problems!
I have shared a number of case reports of youngsters- some of them in their teens- on this blog about the serious problems being faced by the people who are hooked to Pan-masala and Gutkha. Mouth c…...
9 Years Ago
BlogAdda
Betel-quid, Pan Masala & Gutkha Banned in UP Govt. Offices
Betel-quid, Pan Masala & Gutkha Banned in UP Govt. Offices
I came to know about this great news this afternoon. It is a very bold decision. Great indeed. It requires a lot of courage and conviction. Being a dental professional, sometimes I do come across d…...
9 Years Ago
BlogAdda
At Times Teeth Are Sacrificed Without Any Fault
At Times Teeth Are Sacrificed Without Any Fault
During our dental college days we used to be taught in details about the trigeminal neuralgia and its management. Our great teachers used to tell us that this condition is often ignored and goes un…...
9 Years Ago
BlogAdda
Areca nuts- Smokelss tabacco play havoc with young lives
Areca nuts- Smokelss tabacco play havoc with young lives
This is the dental photograph of a 23 year young man who had come to me with swelling of  face on his right side (involving lower jaw). It was noticed that he is not able to open his mouth properlyâ€...
9 Years Ago
BlogAdda
Avoid going to Unqualified Chinese Dentists
Avoid going to Unqualified Chinese Dentists
Since my childhood days, i have been hearing about china dentists in India. Perhaps in all the cities some chinese dentist are having ‘dental shops’. I have nothing against chinese doct…...
9 Years Ago
BlogAdda
Teeth Wearing Away -Common problem
Teeth Wearing Away -Common problem
In India, wearing away of teeth is a big problem…perhaps it might be global problem but I can say with certainty that in India this problem is very rampant. There are definite reasons for tha…...
9 Years Ago
BlogAdda
...