V

Virendra Kumare's Protect YourTeeth

Protect your teeth, understand the basic of your teeth, how
prevent your tooth loss so that they last for ever, problem
related to dis-colored teeth, crowding ,unbearable pain.help
yourself....

  • Rated2.9/ 5
  • Updated 16 Years Ago

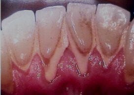
What is DENTAL PLAQUE

Updated 18 Years Ago

What Is DENTAL PLAQUE
Dental Plaque Dental plaque is a general term for the diverse microbial community (predominantly bacteria) found on the tooth surface, embed...
Read More
...